Bio-Therapeutic Computers - ексклюзивні "космічні технології", світові патенти, гарантований результат
Компанія Bio-Therapeutic Computers - всесвітньо відомий гігант у сфері косметологічного напрямку. Американська компанія була заснована 1974 року Девідом Сузукі, батьком нинішнього президента Bio-Therapeutic.
За роки своєї діяльності компанія завоювала сотні тисяч вдячних косметологів і фахівців естетичної медицини, запропонувавши їм унікальну запатентовану технологію мікрострумової терапії.
Простота функціоналу, зручність у зміні комплектувальних частин і в роботі апарата, а також безумовний ефект від процедур робить Bio-Ultimate Platinum незамінним для сучасних салонів краси, клінік, студій і кабінетів естетики обличчя і тіла.
Компанія є володарем усіх необхідних для проведення робіт сертифікатів міжнародної якості, зокрема ISO та FDA.
Мікроструми Bio-Ultimate Platinum - новітній погляд на технологію, перевірену часом та FDA
Мікроструми - це затребувана сучасна технологія, яка використовує дуже низький рівень струму, відповідного електричного потенціалу людського тіла.
Мікроструми Bio-Ultimate Platinum працюють як зовнішнє джерело енергії, який організм може використовувати для швидкого відновлення і сяйва шкіри.
Клінічні дослідження показують негайний результат при використанні мікрострумів з параметрами менше ніж 400 мкА.
Метод мікрострумової терапії заснований на впливі фізіологічних мікрострумів на різні шари шкіри і м'язову систему. Результатом впливу є нормалізація фізіологічної активності клітин шкіри, м'язової тканини, лімфатичних вузлів і судин.
Мікрострумова терапія призначена для профілактики і лікування будь-якого типу старіння шкіри, корекції деформаційного старіння за рахунок довгострокового ліфтингу лицьових м'язів, пролонгованого дренажного ефекту.
В обладнанні Bio-Therapeutic (США) реалізований принцип зворотного біологічного зв'язку, який підтримує необхідні параметри, в залежності від мінливого опору шкіри.
Запатентована унікальна технологія Suzuki Sequencing®.
Suzuki Sequencing® - запатентована технологія, яка дає змогу збільшити ефективність роботи мікрострумів на шкіру шляхом використання мультичастотного діапазону.
Унікальна система "плаваючих частот" Sequencing забезпечує відсутність звикання (двоканальні проби) до струмового впливу. Збільшення ефективності електричного імпульсу на 40-60%.
Ця революційна технологія забезпечує неперевершений вплив на шкіру і здоров'я клієнта загалом, за дуже короткий час.
Bio-Ultimate Platinum має медичні сертифікати FDA, ISO та СЕ
Спектр можливостей апарату Bio-Ultimate Platinum
Широкий вибір автоматичних програм для роботи по обличчю та тілу - 21 протокол
ОБЛИЧЧЯ:
- Корекція овалу обличчя
- Лікування сухої, жирної і в'янучої шкіри, акне, гіперпігментації за допомогою впровадження спеціальних масок
- Стимуляція після дермабразії
- Реабілітація після пластичних операцій
- Іонофорез
- Лімфодренаж
- Міоліфтинг обличчя
- Швидкий ліфтинг - експрес-процедура
- Усунення мімічних зморщок
ТІЛО:
- Тонізація м'язів
- Іонофорез
- Лікування целюліту
- Лімфодренаж
- Ліфтинг грудей, рук, живота, сідниць, стегон, гомілки та всього тіла
ВОЛОСЯНА ЧАСТИНА ГОЛОВИ:
- Відновлення шкіри голови
- Активація росту волосся, зміцнення
Додаткові переваги апарату Bio-Ultimate Platinum від Bio-Therapeutic (США)
- 11 рівнів впливу струму для найбільш точного поєднання електричного імпульсу до електричного потенціалу клітинної мембрани
- 4 форми хвилі імпульсу для досягнення потрібної глибини - від дерми до м'язів
- Експрес-процедура "TURBO-ліфтинг". Дослідження показали, що 94% з 2000 пацієнтів помітили результати лікування вже після першої процедури
- Можливість самостійного програмування
- Тривалий ефект від курсу процедур - зберігається до 6 місяців
- Простота виконання і висока рентабельність
- Приємні суб'єктивні відчуття (проходження струму через тканини не відчувається, висока задоволеність від процедури). Виражений седативний ефект
- З усіх струмових процедур мікрострумова терапія має мінімальні загальнотерапевтичні протипоказання і краще сприймається
Bio-Ultimate Platinum - апарат без проводів і необхідності підключення до мережі.
Автономне живлення від батарейок: якість і місце проведення процедур не залежать від стрибків електрики, наявності струму.
Більше 90% клієнтів відзначають миттєвий ефект від сеансів
На що впливає мікрострумова терапія?
- Епідерміс
- Дерма
- Підшкірно-жирова клітковина
- М'язовий каркаc
- Судини
- Нерви
- Залозиста тканина
Що відбувається під час процедури?
КЛІТИННИЙ РІВЕНЬ:
- Відновлення мембранного потенціалу і, як наслідок, нормалізація клітинного метаболізму
- Стимуляція активності фібробластів
- Нормалізація підвищеної синтетичної активності меланоцитів і прискорення деградації меланіну
- Стимуляція клітинних і гуморальних ланок імунітету
ТКАНИННИЙ РІВЕНЬ:
- Поліпшення мікроциркуляції (артеріального припливу, венозного і лімфатічного відтоку)
- Відновлення м'язового тонусу (можливість роботи з м'язами, що знаходяться в стані і гіпо - і гіпертонусу)
- Зволоження тканин (шляхом підвищення синтезу в дермі глікозаміногліканів і введення зволожуючих засобів)
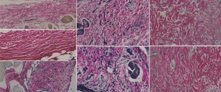
Результати гістологічного дослідження:
Після 20 днів лікування:
- рівень колагену в дермі зріс на 14%
- рівень еластину в дермі зріс на 48%
- спостерігалося посилення мікроциркуляції на 39%
Показання для мікрострумової терапії
Пластична хірургія та інвазивні процедури:
- Передопераційна підготовка і постопераційний супровід пацієнтів
- Підготовка до лазерного шліфування і супровід пацієнта після нього
- Післяопераційні набряки, лімфостаз
- Обробка рубців
- Пересадка волосся
- Супровід клієнтів після ліпосакції
Компактний аналог мікрострумів - BT NANO
Апарат мікрострумової терапії став настільки затребуваний, що творці Bio-Ultimate Platinum вирішили зробити портативні мікроструми для невеличких косметологічних кабінетів або ж виїздної практики косметолога - BT-NANO.
На даний момент це найлегший (вага 380 гр) та найкомпактніший апарат мікрострумів для роботи по обличчю. Впливаючи фізіологічними струмами на різні верстви оброблюваної зони - від дерми до м'язів, апарат дозволяє проводити процедури лікування будь-якого типу старіння шкіри.
Професійна космецевтика Bio-Therapeutic (США)
Спеціально розроблена компанією Bio-Therapeutic під апаратні методики. Професійні засоби для кожного етапу процедур: базова лінія для очищення, підготовки до мікрострумової терапії та післяпроцедурний догляд.
Platinum лінія з пептидами - цілеспрямовані засоби для вирішення різних естетичних проблем шкіри. За допомогою апарату Bio-Ultimate Platinum можна впровадити сироватку / крем для більш ефективного та швидкого результату.
Комплектація апарату для мікрострумової терапії Bio-Ultimate Platinum від Bio-Therapeutic
Bio-Ultimate Platinum® має розширену комплектацію аксесуарів, яка дозволяє легко проводити процедури. Рукавички для роботи по обличчю і тілу, електроди для роботи в локальних зонах - роблять процедуру максимально ефективною, даючи можливість поєднувати мікрострумову терапію з іншими процедурами.
